La cirugía fue un éxito, pero surgen sospechas acerca de cómo llegó ese objeto al órgano del menor.- eldiariodecatamarca.com

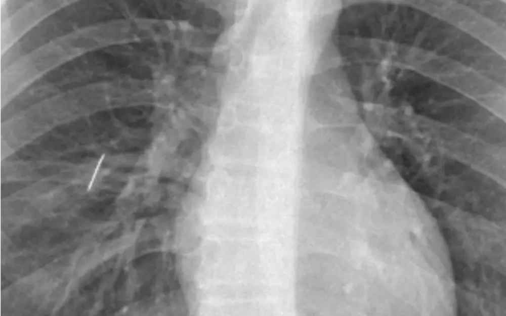
El servicio de Cirugía General del Hospital Interzonal San Juan Bautista realizó una intervención quirúrgica compleja e inédita para extraer una aguja de coser alojada en el pulmón de un paciente de 16 años, oriundo de Tinogasta, quien ingresó por guardia tras sufrir un accidente doméstico. El hecho ocurrió cuando el joven se apoyó sobre una caja que contenía un objeto metálico, que le provocó un trauma penetrante de tórax.
Tras una primera atención en su lugar de origen, fue derivado al hospital, donde se confirmó la presencia del cuerpo extraño en el pulmón. El equipo de Emergencias, ni bien ingresado, realizó el drenaje torácico mediante la colocación de un tubo para la evacuación de aire, secreciones y sangre; como el pulmón no lograba expandirse debido a la presencia del objeto, se procedió a la planificación de la resolución quirúrgica.
La intervención, que tuvo una duración aproximada de una hora y media, estuvo a cargo del Dr. Fernando Lestussi junto al equipo del servicio de Cirugía General. Debido a la ubicación del objeto y las características del caso, se realizó una cirugía abierta, de mayor riesgo que una menos invasiva, pero al intervenir un paciente joven sin enfermedades de base, no presentó complicaciones.
Por su parte, el equipo de Anestesiología, con uso de fibrobroncoscopio realizó una intubación selectiva, técnica que permite ventilar un solo pulmón mientras el otro se mantiene sin funcionamiento, lo que posibilita intervenir directamente sobre el pulmón afectado, mejorando la visibilidad y reduciendo riesgos durante la extracción.
Cabe destacar que este como muchos casos con lesión en el pulmón, son casos que aunque sean extremadamente complejos deben tener una resolución rápida y en la provincia, dado que el traslado del paciente —tanto por vía terrestre como aérea— hubiese implicado un altísimo riesgo de vida.
En este sentido, el Dr. Lestussi explicó: “Se trató de un trauma penetrante de tórax con un objeto metálico que resultó ser una aguja de coser, clavada en el pulmón. Era un caso que no podía derivarse por el riesgo que implicaba el traslado, por lo que la resolución debía hacerse en nuestro hospital, y con mucha satisfacción podemos decir que lo realizamos profesionales del hospital”.
Además, destacó la labor del Servicio de Anestesiología, “La intubación selectiva fue clave, ya que permitió trabajar sobre el pulmón comprometido en condiciones seguras, mientras el otro continuaba garantizando la oxigenación del paciente”.
Actualmente el joven se encuentra en buen estado de salud, con una evolución favorable, acorde a su edad y condición de física, con proyección de alta para los próximos días.
Este tipo de operativos pone en valor la capacidad del sistema público y del Hospital para resolver situaciones de alta complejidad en contextos novedosos donde no es posible la derivación, garantizando una respuesta oportuna, eficaz e integrada, ya que la cadena de intervenciones inició con el Hospital de Tinogasta, el Servicio de Emergencias en el traslado, los equipos de Emergentología del hospital –clínicos, diagnósticos y terapéuticos- y finalmente los servicios involucrados en la Resolución Quirúrgica.
El equipo quirúrgico estuvo compuesto por el Servicio de Cirugía General, Dres. Fernando Lestussi y Hector Leiva; Servicio de Anestesiología, Dra. Daniela Cruz; y el Servicio de Quirófano Central: Instrumentador Carlos Cardozo y Circulante Nicolás Marcial.